Skip to main content

Together we are beating cancer

Donate now
  • Science & Technology

Are ‘leftover’ cells a new route to cancer?

by Kat Arney | Analysis

13 July 2011

0 comments 0 comments

This post is 14 years old, so some information may be outdated
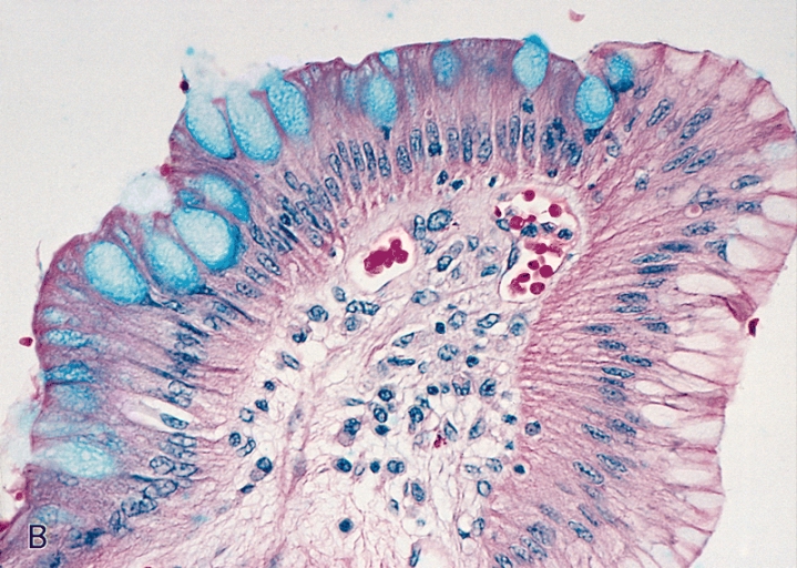
Tissue sample from Barrett's oesophagus

Scientists investigating the development of Barrett's oesophagus have proposed an entirely new model for how the pre-cancerous condition starts.

In a world where relatively small steps in research can get blown up into front page headlines, it’s ironic that one of the most fascinating findings we’ve seen in recent years barely scraped any coverage at all, bar a few science websites.

At the end of June, an international team of scientists published an important discovery in the journal Cell, which could have big implications for our understanding of how certain types of cancer start.

Most cancer researchers think that the disease develops in adults because our cells slowly accumulate mistakes in their genes as we grow older. But the new study could turn this idea on its head. Controversially, the scientists found that a pre-cancerous condition known as Barrett’s oesophagus may start from cells left over from when we developed in the womb.

Although this discovery is still very new and potentially controversial, it’s a thought-provoking finding that challenges our current understanding of how some types of pre-cancerous conditions – and potentially cancer itself – arise.

A bit of background about Barrett’s

Barrett’s oesophagus  – also known as Barrett’s metaplasia – is a pre-cancerous condition affecting the oesophagus (food pipe or gullet), in which the flat cells lining the gullet change to become more like the rectangular cells lining the lower reaches of the digestive system such as the intestines.

It’s usually caused by acid reflux – acid coming back up from the stomach into the oesophagus, commonly known as heartburn – and is thought to affect between one and four in every 200 adults in the Western world.

Barrett’s oesophagus itself is not cancer, but one or two in every hundred sufferers go on to develop oesophageal cancer (though some studies suggest this may be as low as two in a thousand).

Because of this, people with the condition are regularly monitored, in order to spot any potentially dangerous changes as early as possible. This is vital because oesophageal cancer tends to be very aggressive, and can be difficult to treat successfully once it has spread.

While it’s well-known that acid reflux can cause Barrett’s oesophagus to develop, what’s less clearly understood is the process that drives healthy oesophageal cells to adopt a more ‘gut-like’ fate.

To try and find out, Professor Frank McKeon and his colleagues in the US, Singapore, France and the UK turned to a protein called p63 – a molecular switch than can flip cells from one fate to another.

Introducing p63

As a human or animal is growing in the womb, a cast of thousands of genes and molecules perform an elaborate ballet, turning a handful of identical stem cells into the huge variety of different tissues found in the body.

The protein p63  –  a close relative of the infamous p53 tumour suppressor – plays a vital role in this process, helping to convert simple, rectangular cells (like those found lining the intestines) into more complex, multilayered tissues made up of flattened cells, like those that line the oesophagus.

It’s been known for a few years that p63 is important in Barrett’s oesophagus, and the protein is switched off in cells that have made the transition from healthy to dodgy.

To find out what was going on during the development of Barrett’s oesophagus, the researchers studied mice lacking p63. These animals develop a condition very similar to that seen in humans, referred to as “Barrett’s-like metaplasia”.

Using detailed gene analysis techniques, the researchers discovered that the pattern of gene activity in tissue samples taken from the animals with Barrett’s-like metaplasia was very similar to that seen in the human condition, suggesting that the mice are a good model for the disease.

Having confirmed this, the scientists dug a little deeper into the origins of the cells in the oesophagus, and made an unexpected discovery.

Embryonic ‘stragglers’ shift up

To find out more about the cells that eventually form the oesophagus, the researchers used fluorescent antibodies that ‘light up’ embryonic cells containing a molecule called Car4 when viewed under a special ultraviolet light microscope. These are relatively primitive cells that contribute to the developing gullet in the womb, but don’t form part of the fully-formed oesophagus.

As expected, the scientists could easily see a large group of these ‘early’ cells in the developing gullet. As time goes on, these primitive cells get crowded out by more mature cells containing p63, which go on to make the fully-formed oesophagus.

But when the scientists looked closely at fully-grown animals, they noticed a small cluster of these embryonic cells still lurking at the junction between the oesophagus and the stomach – the region where Barrett’s oesophagus first starts.

Next they examined animals lacking p63, which have problems making the cells that line the oesophagus and quickly develop Barrett’s metaplasia. This time, the researchers noticed that the number of embryonic cells in the area had increased significantly, and they had grown up into the oesophagus.

Importantly, the scientists showed that the cells making up the Barrett’s metaplasia in these animals were ‘leftover’ embryonic-type cells rather than cells that normally line the oesophagus, challenging the idea that the condition starts from oesophageal lining cells with faulty p63.

What’s going on?

The researchers think that Barrett’s oesophagus starts when stomach acid damages healthy cells in the oesophagus (mimicked in these experiments by the faulty oesophageal lining cells in the animals lacking p63). And just as weeds proliferate in the empty soil when plants are pulled out of a flowerbed, this leaves a space into which the lurking embryonic cells can grow and multiply, leading to metaplasia.

Then – in a small percentage of people with Barrett’s oesophagus – the scientists propose that further gene faults occur in these rogue embryonic cells, ultimately leading to cancer.

This is a challenging new idea because it’s so different from the established models of how cancer develops, which suggest that the disease starts from one adult cell that gradually picks up more and more gene faults as it multiplies.

Limitations and questions

Although these results are intriguing, this study also raises some major questions for scientists to sink their teeth into.

While mice and humans share a broadly similar body plan, and the researchers found many similarities between the Barrett’s oesophagus-like condition in animals and the human disease, there are significant anatomical differences in the junction between the stomach and the gullet in the two species.

So it’s going to be vital to find out whether embryonic cells can be detected in adult human samples, and whether they actually contribute to the development of Barrett’s oesophagus and oesophageal cancer.  The researchers did do some tests on human tissue, but not enough to fully answer this question.

Furthermore, if embryonic cells are causing Barrett’s oesophagus in humans, how are they being triggered to grow and expand?

And looking at the bigger picture – is this process responsible for other types of metaplasia, such as the changes in the lungs seen in smokers, which can be a precursor for lung cancer?

The answers to these questions could potentially provide a radically different view of the development of pre-cancerous conditions like Barrett’s oesophagus (and therefore some types of cancer linked to metaplasia). And while there’s still a lot more to be done to establish exactly what’s going on, the ideas put forward by this paper should certainly provide food for thought for cancer researchers around the world, including scientists Cancer Research UK is funding in this area.

Kat

References:

Wang X et al (2011). Residual Embryonic Cells as Precursors of a Barrett’s-like Metaplasia. Cell, 145 (7), 1023-35 PMID: 21703447

Lefort K, & Dotto GP (2011). p63 and Epithelial Metaplasia: A Gutsy Choice. Cell, 145 (7), 1003-5 PMID: 21703442