Skip to main content

Together we are beating cancer

Donate now

Science Snaps: peering inside an expanding lymph node

by Nick Peel | Analysis

22 October 2014

1 comment 1 comment

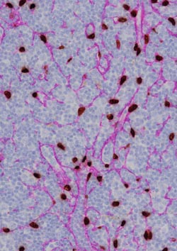
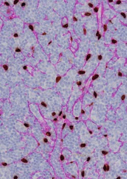
Lymph node cells - Image courtesy of Dr Sophie Acton
This post is 11 years old, so some information may be outdated
This entry is part 8 of 30 in the series Science Snaps
Series Navigation<< Science Snaps: what can fluorescent fish teach us about skin cancer?Science Snaps: Sir Henry Morris and the ‘anonymous Gentleman’ >>

If you’ve had a cold then you probably know where to find a lymph node. Those painful swellings lurking in your neck or armpit can be a clear indication that an infection is taking hold.

While a swollen lymph node during a cold can be uncomfortable, it’s generally not serious. But for people with cancer, the lymph nodes can form a secondary home for rogue tumour cells that have spread around the body.

But what makes these crucial immune organs swell?

Scientists around the world are digging deeper into how the immune system works on a day-to-day basis, taking what we learn about healthy cells and applying this to the world of infections – or when things go wrong in diseases like cancer.

And today, a team of our scientists – led by Dr’s Sophie Acton and Caetano Reis e Sousa from our London Research Institute – have shown for the first time what makes lymph nodes swell during infection, publishing their findings in the prestigious journal Nature.

Swelling evidence

The team homed in on the complex cellular networks that surround the pipework within the lymph nodes, focusing their attention on a particular group of cells called fibroblastic reticular cells (FRCs).

They found that specialised immune cells, called dendritic cells, that arrive at the lymph nodes following an infection or during disease were actually causing the lymph nodes to swell.

This marks a fascinating discovery, showing for the first time that the cells responsible for spotting a threat to our bodies are also telling the lymph nodes to swell in anticipation of an immune reaction.

Once activated, the dendritic cells produced large amounts of a molecule called CLEC-2, which had a striking impact on the FRCs.

When the FRCs encountered the increased levels of the CLEC-2 molecule they reorganised their internal skeletons, changing the shape of the cells and expanding the lymph nodes.

“This expansion of the lymph nodes, the command centres of the immune system, gives more room for immune cells to gather and launch their attack against infections and cancer,” said Dr Reis e Sousa.

Dr Acton added that the next challenge will be to see how these early findings align with how the body responds to cancer.

“We need to now see if this is the same mechanism that is used in the immune system’s response to cancer and how we can exploit it to fight the disease,” she said.

A first look at how lymph nodes swell

At the heart of this research are some striking images snapped from the microscopic world within the lymph node. Here’s a gallery showing a selection of these images – click for a slideshow with descriptions:

All images courtesy of Dr Sophie Acton unless otherwise stated.

Nick

Reference

  • Acton, S, et al. (2014). Dendritic cells control fibroblastic reticular network tension and lymph node expansion Nature, 514 (7523), 498-502 DOI: 10.1038/nature13814

    Comments

  • Eraneo
    22 October 2014

    Please please show us the missing evidence that our immune systems can even recognize cancer cells as non-self and mount an immune reaction to cancer

    Comments

  • Eraneo
    22 October 2014

    Please please show us the missing evidence that our immune systems can even recognize cancer cells as non-self and mount an immune reaction to cancer